

در این نوشته می خوانید:
کیست ها و تومورها می توانند در داخل و اطراف فک شما تشکیل شوند. اکثر این توده ها خوش خیم (غیر سرطانی) هستند. به ندرت، آنها نوعی سرطان فک هستند. این توده های غیر طبیعی بسته به نوع، رفتار متفاوتی دارند. برخی به آرامی رشد می کنند در حالی که برخی دیگر سریع رشد می کنند، بزرگ می شوند و به بافت های اطراف آسیب می رسانند یا دندان ها را جابجا می کنند. رایج ترین درمان، جراحی است.
کیست ها و تومورهای فک، توده هایی هستند که می توانند از استخوان (از جمله دندان ها) و بافت نرم دهان شما تشکیل شوند. کیست فک، کیسه ای از مایع یا ماده نیمه مایع است. تومور فک، توده ای جامد است که وقتی سلول های غیر طبیعی به هم می چسبند، تشکیل می شود. هر دو توده معمولاً خوش خیم (غیر سرطانی) هستند. این بدان معناست که اگرچه ممکن است رشد کنند و بافت صورت و دهان شما را تحت تأثیر قرار دهند، اما معمولاً به سایر قسمت های بدن شما گسترش نمی یابند.
در موارد نادر، کیست ها یا تومورهای فک بد خیم (سرطانی) هستند. ارائه دهندگان خدمات درمانی از آنها به عنوان سرطان فک یاد می کنند. بدون درمان، کیست ها و تومورهای بد خیم فک می توانند به قسمت های بدن غیر از فک شما گسترش یابند.
بررسی هرگونه زائده جدید در فک یا دهان شما ضروری است. حتی اگر تومور یا کیست خوش خیم باشد، برخی از انواع آن هنوز هم می توانند به فک شما آسیب برسانند یا دندان ها را جابجا کنند.

انواع کیست ها و تومورهای فک
انواع مختلفی از کیست ها و تومورهای فک وجود دارند. ارائه دهندگان خدمات درمانی آنها را بر اساس خوش خیم یا بد خیم بودن طبقه بندی می کنند. آنها همچنین بررسی می کنند که آیا آنها از بافتی که در رشد دندان دخیل است (کیست ها و تومورهای ادنتوژنیک) یا از بافت دیگری (کیست ها و تومورهای غیر ادنتوژنیک) شروع می شوند.
شایع ترین انواع کیست ها و تومورهای خوش خیم فک عبارتند از:
کیست ها و تومورهای بد خیم فک شامل انواع نادری از موارد زیر هستند:
کیست ها و تومورهای فک غیر معمول هستند و انواع بد خیم آنها بویژه نادر هستند. تحقیقات نشان می دهند که افراد در برخی مناطق ممکن است بیشتر از سایر مناطق به آنها مبتلا شوند. به عنوان مثال، تومورهای دندانی تنها 1% از زائده های غیر معمول دهانی (دهان) را در آمریکای شمالی تشکیل می دهند، اما در برخی از کشورهای آفریقایی تقریباً 20% هستند.

علائم کیست یا تومور در فک کدامند؟
کیست فک یک بیماری نسبتاً شایع دندانی است که در صورت عدم درمان می تواند منجر به ناراحتی ها و عوارض مختلفی شود. بیشتر کیست ها و تومورها به آرامی رشد می کنند و علائمی ایجاد نمی کنند. اما گرانولوم سلول غول پیکر مرکزی، میکسوم ادنتوژنیک و کراتوسیست ادنتوژنیک اغلب عود می کنند. آملوبلاستوما در حداکثر 20% از افراد عود می کند. شناخت علائم کیست فک برای تشخیص به موقع و درمان مؤثر بسیار مهم است.
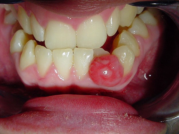
یکی از شاخص های اصلی کیست فک، تورم در ناحیه آسیب دیده است. این تورم ممکن است به صورت یک توده یا برآمدگی قابل مشاهده در امتداد خط فک یا داخل دهان ظاهر شود. این تورم می تواند با حساسیت یا ناراحتی، بویژه هنگام اعمال فشار، همراه باشد.
درد یا حساسیت مداوم در فک، بویژه در اطراف دندان یا دندان های آسیب دیده، می تواند نشان دهنده وجود کیست باشد. این ناراحتی ممکن است از نظر شدت، از خفیف تا شدید، متفاوت باشد و می تواند در فعالیت های روزانه مانند غذا خوردن یا صحبت کردن اختلال ایجاد کند.
کیست فک با بزرگ شدن می تواند مانع عملکرد طبیعی فک شود و منجر به مشکل در جویدن یا صحبت کردن شود. بیماران ممکن است هنگام انجام این فعالیت ها با محدودیت هایی در حرکت فک یا ناراحتی مواجه شوند که باعث می شود به پزشک مراجعه کنند.
یکی از عوارض شایع کیست فک، جابجایی دندان های مجاور است. با بزرگ شدن کیست، به ساختارهای اطراف فشار وارد می شود و باعث تغییر موقعیت دندان ها یا شل شدن آنها می شود. تغییر در تراز دندان ها یا الگوی بایت ممکن است نشان دهنده وجود یک کیست زیرین باشد.
کیست فک در موارد پیشرفته می تواند باعث عدم تقارن قابل توجه صورت شود. بزرگ شدن استخوان فک در یک طرف صورت ممکن است شکل یا کانتور آن را تغییر دهد و منجر به ظاهری ناهموار شود. این نگرانی زیبایی اغلب افراد را وادار می کند که توسط یک متخصص دندانپزشکی معاینه شوند.
احساس بی حسی یا سوزن سوزن شدن در فک، لب ها یا چانه می تواند زمانی رخ دهد که کیست به اعصاب مجاور فشار وارد کند. این اختلالات حسی ممکن است متناوب یا مداوم باشند و باید فوراً برای تعیین علت اصلی آنها ارزیابی شوند.
در برخی موارد، کیست فک ممکن است عفونی شود و منجر به تشکیل یک مجرای سینوسی تخلیه کننده شود. این می تواند منجر به ترشح چرک یا مایع از ناحیه آسیب دیده، همراه با بو یا طعم بد شود. ترشح اغلب نشانه کیست پیشرفته یا پیچیده ای است که به توجه فوری نیاز دارد.
اگر درد یا تورم در فک خود دارید یا متوجه تغییر در ظاهر خود مانند وجود توده در فک یا جابجایی دندان ها شده اید، به پزشک مراجعه کنید. این ممکن است نشانه کیست، تومور یا یک بیماری دندانی جداگانه باشد که پزشک شما می تواند آن را درمان کند. مراجعه منظم به دندانپزشک بسیار مهم است. عکسبرداری معمولی از دندان ها می تواند علائم کیست یا تومور را زمانی که هنوز کوچک است و علائمی ایجاد نمی کند، نشان دهد.
سؤالاتی که باید بپرسید عبارتند از:
بسیاری از بیماری ها می توانند باعث ایجاد توده روی فک شما شوند و اکثر آنها به اندازه کافی جدی نیستند که نگران آنها باشید. علل شامل کیست ها و تومورها هستند – اما مشکل ممکن است به سادگی یک واکنش آلرژیک یا تورم غدد لنفاوی باشد.
به خاطر داشته باشید که بیشتر توده های خوش خیم هنگام لمس آنها نرم و متحرک هستند. اگر توده سرطانی باشد، احتمالاً سفت به نظر می رسد. استثناء لیپوسارکوم است که نوعی سرطان است که ممکن است مانند یک توده نرم و متحرک احساس شود.
اگر توده جدیدی دارید که از بین نمی رود، دردناک است و در توانایی شما در حرکت فک اختلال ایجاد می کند، وقت آن است که به پزشک مراجعه کنید.
شناخت علائم فوق کیست فک برای تشخیص و مداخله زود هنگام ضروری است. جراحی برداشتن کیست فک می تواند از عوارض و اثرات طولانی مدت بر سلامت دندانی شما جلوگیری کند. با این حال، قرار گرفتن تحت درمان توسط متخصصان با تجربه مهم است. جراحان متخصص دهان و دندان، در جراحی برداشتن کیست فک و سایر روش ها تخصص دارند. آنها متعهد به ارائه درمان جامع، با در نظر گرفتن سلامت شما و هرگونه بیماری زمینه ای در هر روش هستند.
درمان اولیه کیست فک، برداشتن جراحی است. این روش که به عنوان انوکلئاسیون enucleation شناخته می شود، شامل برداشتن کامل ضایعه کیستیک به همراه هرگونه بافت یا بقایای مرتبط است. بسته به اندازه و محل کیست، جراحی ممکن است تحت بی حسی موضعی یا عمومی انجام شود.
در طول عمل، جراح دهان و دندان برشی در بافت لثه ایجاد می کند تا به کیست دسترسی پیدا کند. با استفاده از ابزارهای تخصصی، کیست با دقت تشریح و از استخوان اطراف خارج می شود. جراح همچنین ممکن است در طول جراحی فک، دندان های آسیب دیده را برای درمان جامع بررسی کند.
پس از برداشتن کیست، محل جراحی کاملاً تمیز و از نظر وجود هر گونه قطعه باقی مانده بررسی می شود. سپس بخیه زده می شود تا برش بسته شود و بهبودی مناسب حاصل شود. در برخی موارد، ممکن است برای پر کردن جای خالی کیست و تسهیل بازسازی استخوان، به یک بسته گاز استریل دارویی نیاز باشد.
هزینه برداشتن کیست فک می تواند بسته به عوامل مختلفی از جمله پیچیدگی عمل، تجربه جراح و موقعیت کیست متفاوت باشد. به طور متوسط، بیماران می توانند انتظار داشته باشند که برای برداشتن کیست فک از طریق جراحی، چند صد تا چند هزار دلار بپردازند. عوامل مؤثر بر هزینه برداشتن کیست فک ممکن است شامل مشاوره های قبل از عمل، تصویربرداری تشخیصی، هزینه های جراحی، هزینه های بیهوشی، مراقبت های پس از عمل و هرگونه روش یا مواد اضافی مورد نیاز باشند. ضروری است که بیماران با ارائه دهنده خدمات دندانپزشکی و شرکت بیمه خود مشورت کنند تا از هزینه ها و پوشش خاص مرتبط با طرح درمانی خود مطلع شوند.
اگرچه بیشتر کیست ها و تومورهای فک خوش خیم هستند، اما هنوز هم می تواند نا امید کننده باشد که بفهمید به بیماری مبتلا هستید که احتمالاً به جراحی نیاز دارد. اما مهم است که قبل از اینکه علائمی ایجاد کنند که زندگی با آنها دشوار باشد، مانند درد یا تورم در دهان، آنها را بردارید. اگر از قبل با این علائم زندگی می کنید، جراحی می تواند به خلاص شدن از شر آنها برای همیشه کمک کند. از پزشک خود در مورد گزینه های درمانی و نتایج احتمالی بر اساس نوع خاص کیست یا توموری که دارید، سؤال کنید.